治療にかかる費用について
自費診療では、保険診療でできない治療が可能です
当院では患者さまにご満足いただける治療を目指し、自費診療も行っております。保険診療ではどうしても治療法や使用できる材料が限定されてしまい、個々のお口に最適な治療を追求できない側面があります。どうしても適合性や審美性に劣るため、治療後しばらく経つと詰め物・被せ物の劣化や虫歯の再発、入れ歯の不具合など様々なトラブルが起こりやすいのが欠点と言えます。
一方で、自費診療にはそのような制限が一切ございません。良いものを使用すれば治療の精度や完成度も高まり、治療後も安定した状態を長く保つことができます。患者さまのお悩みやご希望を踏まえ、ライフスタイルまで考慮した上で、「オーダーメイドの歯科治療」をご提供できればと考えています。
料金表(自費診療)
浅い虫歯のつめ物(インレー)治療一覧
セラミックインレー:55,000円(税込)
口の中に詰まっている金属は全身に弊害をもたらす可能性があります。もし、内科や皮膚科で治らないような症状(アレルギー、リウマチ、アトピー性皮膚炎など)がある場合は口の中の金属が原因である可能性があります。
セラミックという素材で、腐食せず、安全性も高いので、安心してお口の中に入れていただけます、金属を一切使用していないため、より自然な美しい輝きが手に入ります。長期に渡る使用にも、強度が高く、色の変化がほとんどありません。
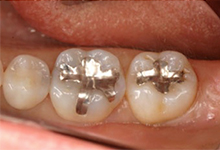
| 金銀 パラジウム合金 |
審美性:× | 適合性:○ | 耐久性:○ | 安全性:△ |
|---|---|---|---|---|
![]() |
|
保険 | ||
| セラミック | 審美性:◎ | 適合性:○ | 耐久性:○ | 安全性:× |
|---|---|---|---|---|
![]() |
|
55,000円 | ||
| ゴールド | 審美性:× | 適合性:◎ | 耐久性:◎ | 安全性:○ |
|---|---|---|---|---|
![]() |
|
227,700円~ | ||
※アンレーの場合は、+313,500円~。
※全て税込価格です。
前歯の深い虫歯のかぶせ物(クラウン)治療一覧
セラミッククラウン:110,000円(税込)
口の中に詰まっている金属は全身に弊害をもたらす可能性があります。もし、内科や皮膚科で治らないような症状(アレルギー、リウマチ、アトピー性皮膚炎など)がある場合は口の中の金属が原因である可能性があります。
ジルコニアは、腐食せず、安全性も高いので、安心してお口の中に入れていただけます、金属を一切使用していないため、より自然な美しい輝きが手に入ります。長期に渡る使用にも、強度が高く、色の変化がほとんどありません。
| 硬質レジン前装冠 | 審美性:△ | 適合性:○ | 耐久性:△ | 安全性:△ |
|---|---|---|---|---|
![]() |
|
保険 | ||
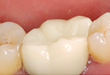
| セラミック (金属を含むものあり) |
審美性:○ | 適合性:◎ | 耐久性:○ | 安全性:◎ |
|---|---|---|---|---|
![]() |
|
110,000円 | ||
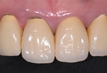
| ジルコニアセラミック | 審美性:◎ | 適合性:◎ | 耐久性:◎ | 安全性:◎ |
|---|---|---|---|---|
![]() |
|
165,000円 | ||
※全て税込価格です。
奥歯の深い虫歯のかぶせ物(クラウン)治療一覧
フルジルコニア:110,000円(税込)
口の中に詰まっている金属は全身に弊害をもたらす可能性があります。もし、内科や皮膚科で治らないような症状(アレルギー、リウマチ、アトピー性皮膚炎など)がある場合は口の中の金属が原因である可能性があります。
ジルコニアは、腐食せず、安全性も高いので、安心してお口の中に入れていただけます、金属を一切使用していないため、より自然な美しい輝きが手に入ります。長期に渡る使用にも、強度が高く、色の変化がほとんどありません。
| 金銀パラジウム合金 | 審美性:× | 適合性:○ | 耐久性:○ | 安全性:△ |
|---|---|---|---|---|
![]() |
|
保険 | ||
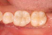
| フルジルコニア | 審美性:○ | 適合性:◎ | 耐久性:◎ | 安全性:◎ |
|---|---|---|---|---|
![]() |
|
110,000円 | ||
| セラミック (金属を含むものあり) |
審美性:○ | 適合性:◎ | 耐久性:○ | 安全性:◎ |
|---|---|---|---|---|
![]() |
|
110,000円 | ||
| ジルコニアセラミック | 審美性:◎ | 適合性:◎ | 耐久性:◎ | 安全性:◎ |
|---|---|---|---|---|
![]() |
|
165,000円 | ||
※全て税込価格です。
コア治療一覧
ファイバーコア:14,300円(税抜)
-
むし歯などで神経をとった後の歯は根の中に最終的に薬を入れます。
-
根に補強の芯をたてます。これがコアです。
-
クラウンをかぶせます。これで治療は完了です。

| メタルコア | 審美性:× | 適合性:× | 耐久性:△ | 安全性:△ |
|---|---|---|---|---|
![]() |
|
保険 | ||
| ファイバーコア | 審美性:◎ | 適合性:◎ | 耐久性:◎ | 安全性:◎ |
|---|---|---|---|---|
![]() |
|
14,300円 | ||
※全て税込価格です。
総入れ歯治療一覧
| プラスチック保険義歯 | 耐久性 ★ |
見た目 ★★ |
装着感 ★ |
噛みやすさ ★ |
|---|---|---|---|---|
![]() |
|
保険 | ||
| コバルトクロム床義歯 | 耐久性 ★★★★★ |
見た目 ★ |
装着感 ★★★★ |
噛みやすさ ★★★★★ |
|---|---|---|---|---|
![]() |
|
330,000円 | ||
| チタン床義歯 | 耐久性 ★★★★★ |
見た目 ★ |
装着感 ★★★★★ |
噛みやすさ ★★★★★ |
|---|---|---|---|---|
![]() |
|
440,000円 | ||
※全て税込価格です。
部分入れ歯治療一覧
| プラスチック保険義歯 | 耐久性 ★ |
見た目 ★ |
装着感 ★ |
噛みやすさ ★ |
|---|---|---|---|---|
![]() |
|
保険 | ||
| ノンクラスプ義歯 | 耐久性 ★★★ |
見た目 ★★★★★ |
装着感 ★★★ |
噛みやすさ ★★★ |
|---|---|---|---|---|
![]() |
|
165,000円 | ||
| コバルトクロム床義歯 | 耐久性 ★★★★★ |
見た目 ★ |
装着感 ★★★★ |
噛みやすさ ★★★★★ |
|---|---|---|---|---|
![]() |
|
330,000円 | ||
| チタン床義歯 | 耐久性 ★★★★★ |
見た目 ★ |
装着感 ★★★★★ |
噛みやすさ ★★★★★ |
|---|---|---|---|---|
![]() |
|
440,000円 | ||
※全て税込価格です。
料金表(一覧)
※全て税込価格です。
| インレー | |
|---|---|
| 銀歯インレー | 保険 |
| セラミックインレー | 55,000円 |
| ゴールドインレー | 227,700円~ |
| アンレー | |
|---|---|
| セラミックアンレー | 66,000円 |
| ゴールドアンレー | 313,500円~ |
| コア | |
|---|---|
| メタルコア | 保険 |
| ファイバーコア | 14,300円 |
| 前歯クラウン | |
|---|---|
| 硬質レジン前装冠 | 保険 |
| セラミッククラウン(メタルボンド/e-max) | 110,000円 |
| ジルコニアセラミック | 165,000円 |
| 臼歯クラウン | |
|---|---|
| 銀歯 | 保険 |
| フルジルコニア | 110,000円 |
| セラミッククラウン(メタルボンド/e-max) | 110,000円 |
| ジルコニアセラミック | 165,000円 |
| ゴールド | 344,300円 |
| ホワイトニング | |
|---|---|
| オフィスホワイトニング(オパール) 15分×2回 | 33,000円 |
| ホームホワイトニング(オパール) | 33,000円 |
| 総義歯 | |
|---|---|
| 保険総義歯 | 保険 |
| チタン床 | 440,000円 |
| 部分義歯 | |
|---|---|
| 保険部分義歯 | 保険 |
| ノンクラスプデンチャー | 165,000円 |
| チタン床 | 440,000円 |
































